-
Posts
23596 -
Joined
-
Last visited
-
Days Won
2
Everything posted by Kejciu
-
Tobi...2 tyg leżał w rowie...pęknięta miednica, złamany kręgosłup....
Kejciu replied to Kejciu's topic in Psy do adopcji
Bardzo dziękuję już wysyłam :-) -
Tobi...2 tyg leżał w rowie...pęknięta miednica, złamany kręgosłup....
Kejciu replied to Kejciu's topic in Psy do adopcji
Ja bym nie zaryzykowała oceny stosunku do kotów na podstawie filmiku :) On był zabrany wtedy z lecznicy, po konsultacji w drugiej, w trasie, nie wiedział co się dzieje no i w nowym miejscu jakieś pół godziny do nakręcenia filmiku więc o ocenę stosunku do kotów bym się nie porwała :)Ale myślę że wszystkie zachowania są do wypracowania, nie miał " mordu " w oczach na widok kota więc dobrze rokuje :):):) są psy które w ciężkim stanie a jak zobaczą kota dostają wariacji :) Sama mam przypadek w domu zaadoptowanego Piotrusia - z opisu schroniska nie akceptował ani psów, ani kotów i ludiz też potrafił dziabnąć dziąsełkami ( bo nie ma ząbków ), a teraz mieszka u mnie z kotami i psami i ułożyliśmy sobie relacje :) Poprosiłam Paulinę aby weszła na wątek i napisała jak wygląda jej opieka nad Tobim :) będzie to chyba najbardziej wiarygodna informacja bo ona się nim zajmuje :) -
Tobi...2 tyg leżał w rowie...pęknięta miednica, złamany kręgosłup....
Kejciu replied to Kejciu's topic in Psy do adopcji
Zostaniemy przy Doktorze Olkowskim z terminem 5 luty. Bardzo mi przykro z powodu Szefcia :( czy jest ktoś chętny dać Tobiemu DT ? -
Tobi...2 tyg leżał w rowie...pęknięta miednica, złamany kręgosłup....
Kejciu replied to Kejciu's topic in Psy do adopcji
Jasne jeśli masz taką możliwość to jak najbardziej. 5 lutego mamy nie odwołana wizytę u dr Olkowskiego więc chyba z niej skorzystamy. -
Tobi...2 tyg leżał w rowie...pęknięta miednica, złamany kręgosłup....
Kejciu replied to Kejciu's topic in Psy do adopcji
I paragon za wizytę wpisałam wczoraj za dużą kwotę ale już się poprawiłam :) wizyta kosztowała 237zł -
Tobi...2 tyg leżał w rowie...pęknięta miednica, złamany kręgosłup....
Kejciu replied to Kejciu's topic in Psy do adopcji
-
Tobi...2 tyg leżał w rowie...pęknięta miednica, złamany kręgosłup....
Kejciu replied to Kejciu's topic in Psy do adopcji
Ma to poprawić komfort życia bez bólu - i ruchomość kończyny - miednica jest tak popękana że niestety bez operacji nie będzie miał komfortowego życia. Postaram się wrzucić zdjęcia z RTG i opis konsultacji wczoraj już nie dałam rady. -
Tobi...2 tyg leżał w rowie...pęknięta miednica, złamany kręgosłup....
Kejciu replied to Kejciu's topic in Psy do adopcji
dziękuję już wysyłam :) -
Tobi...2 tyg leżał w rowie...pęknięta miednica, złamany kręgosłup....
Kejciu replied to Kejciu's topic in Psy do adopcji
Dotarła - zaraz uaktualnię wpłaty :) dziękuję :) -
Tobi...2 tyg leżał w rowie...pęknięta miednica, złamany kręgosłup....
Kejciu replied to Kejciu's topic in Psy do adopcji
OGROMNE DZIĘKI POKER!!! -
Tobi...2 tyg leżał w rowie...pęknięta miednica, złamany kręgosłup....
Kejciu replied to Kejciu's topic in Psy do adopcji
Dziękuję już wysyłam :) -
Tobi...2 tyg leżał w rowie...pęknięta miednica, złamany kręgosłup....
Kejciu replied to Kejciu's topic in Psy do adopcji
Bogusik mam wpłatę 100,83zł dziękuję :* nie odnotowałam dlatego że podałam Ci zgodnie z prośbą ten drugi numer konta a tam nie zaglądałam :) Zaraz wszystko pouzupełniam - ogromne dzięki! -
Tobi...2 tyg leżał w rowie...pęknięta miednica, złamany kręgosłup....
Kejciu replied to Kejciu's topic in Psy do adopcji
-
Tobi...2 tyg leżał w rowie...pęknięta miednica, złamany kręgosłup....
Kejciu replied to Kejciu's topic in Psy do adopcji
-
Tobi...2 tyg leżał w rowie...pęknięta miednica, złamany kręgosłup....
Kejciu replied to Kejciu's topic in Psy do adopcji
-
Tobi...2 tyg leżał w rowie...pęknięta miednica, złamany kręgosłup....
Kejciu replied to Kejciu's topic in Psy do adopcji
-
Tobi...2 tyg leżał w rowie...pęknięta miednica, złamany kręgosłup....
Kejciu replied to Kejciu's topic in Psy do adopcji
Przepraszam że na bieżąco nie byłam w stanie zdawać relacji ale strasznie długo nam się zeszło w lecznicy, narkoza, wybudzenie, badania.. ja tel zostawiłam w samochodzie - potem korki no i sporo km przed nami było do zrobienia a pogoda kiepska... -
Tobi...2 tyg leżał w rowie...pęknięta miednica, złamany kręgosłup....
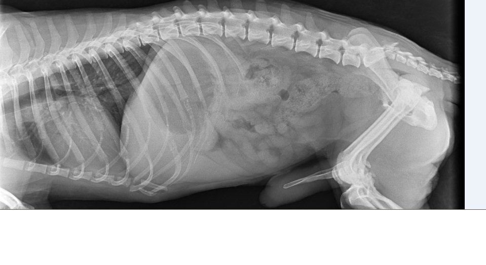
Kejciu replied to Kejciu's topic in Psy do adopcji
Kochani mamy dobre wieści, nawet bardzo dobre! Okazało się że tego pęknięcia kręgosłupa nie trzeba operować, doktor Bissenik obejrzał malucha, zrobił rtg ale zdjęcia wyszły bardzo kiepsko ponieważ kończynę miedniczną podwijał Tobi pod siebie - pewnie mu tak wygodniej było i mniej bolalo. Doktor znieczulił naszego chłopca i zrobiliśmy RTG w znieczuleniu - okazało się że ta miednica jest w bardzo kiepskim stanie a operacja powinna być wykonana do 3 dni po urazie a my dokładnie nie wiemy kiedy uraz nastąpił i napewno minęło sporo czasu od zdarzenia. Doktor powiedział że kość jest tak roztrzaskana i zgruchotana ( jest tam gruz ) że nie podejmie się w chwili obecnej operacji bo mógłby wyrządzić więcej szkody niż pożytku. Odłamki nie są na tyle duże aby mieć pewność że usunie się wszystkie. Aby zachować ruchomość stawu ( bo już w miednicy zaczęły się zrosty kości ) - jedyna możliwość to poczekać 4 tyg aż samo się troszkę podgoi i wykonamy zabieg resekcji główki kości udowej. Pozatym kręgosłupem mamy się nie przejmować bo zdarzyło się to w części bezrdzeniowej - Doktor powiedział że stan Tobiego nie jest zły - że będzie normalnie chodził po tej operacji. Narazie mamy zalecenie 4 tyg bezwzględnego klatkowania w kennelu tak aby ruch był ograniczony + dostaliśmy lek przeciwbólowy na 10 dni. Mamy się zgłosić za 4 tyg i umówić termin zabiegu. Korzystając z okazji że Tobi był w znieczuleniu poprosiłyśmy z Dorotą o podgolenie mu troszkę tyłka z sierści aby łatwiej było zachować higienę. On ma strasznie dużo kołtunów, zmechaconej sierści - jak wydobrzeje napewno trzeba będzie go podciąć aby piękna nowa sierść odrosła - ale to już w przyszłości :) Mamy też spory problem ponieważ miejsce w którym Tobi teraz przebywa - jest tymczasowe. Nie może tam długo zostać i tu pojawia się pytanie i zarazem prośba czy ktoś znalazłby kawałek kąta w domu aby Tobiego do i po operacji " przetrzymać " w klatce kennelowej ? Zapewniamy oczywiście karmę i usługi weterynaryjne - szukamy ciepłego, sprawdzonego miejsca. On jest totalnie bezproblemowy jeśli chodzi o " obsługę " - grzeczny, spokojny i cichutki jakby go nie było. Cudny pies, w gabinecie dał ze sobą zrobić wszystko, dosłownie wszystko... Prosimy pomyślcie, popytajcie...może ktoś się zgodzi zaopiekować Tobim I teraz ta mniej przyjemna rzecz - finanse... Za konsultację zapłaciłyśmy dzisiaj 237 zł Szacowany koszt operacji to 900-1000zł Za chwilkę wkleję zdjęcia i filmiki jakie nagrywała Dorota :) Bardzo bardzo bardzo jej dziękuję za dziś :******* i za obecność i wsparcie bo byłyśmy mega zestresowane -
Tobi...2 tyg leżał w rowie...pęknięta miednica, złamany kręgosłup....
Kejciu replied to Kejciu's topic in Psy do adopcji
Obawiam się że napiszę dopiero wieczorem bo jutro mam do zrobienia pewnie z 200 km... więc pewnie wieczorem jak wrócę to się odezwę :( ewentualnie napiszę Ci szybkiego sms i napiszesz tu a jak będę wracała to zadzwonię. Wizytę mamy o 15 ale ja z domu musze wyjść o 12 aby zdąrzyć jechać po Dorotę, potem po Tobiego i z Tobim dopiero pod Pruszków - aby tylko nie było korków i żebyśmy zdążyły. Zanim odwiozę Tobiego i Dorotę do domu to pewnie zjadę dopiero wieczorem :( bo to piątek będzie i godziny szczytu ludzie na ferie wyjeżdżają :(:(:( -
Tobi...2 tyg leżał w rowie...pęknięta miednica, złamany kręgosłup....
Kejciu replied to Kejciu's topic in Psy do adopcji
Jutro o tej porze.... będziemy już w drodze po nadzieję... -
Tobi...2 tyg leżał w rowie...pęknięta miednica, złamany kręgosłup....
Kejciu replied to Kejciu's topic in Psy do adopcji
Potwierdzam - próbowałam znaleźć wczoraj stronkę interetową ale bezskutecznie... znalazłam fanpage na FB - napisałam zapytanie i otrzymałam potwierdzenie że psy z naszego rejonu będą tam trafiać:( -
Tobi...2 tyg leżał w rowie...pęknięta miednica, złamany kręgosłup....
Kejciu replied to Kejciu's topic in Psy do adopcji
bardzo dziekuję już wysyłam :*