Keyq Posted July 10, 2017 Posted July 10, 2017 Witam serdecznie! Jestem tu nowa i potrzebuje rady. W zeszły czwartek zauważyliśmy z mężem że nasza 6-letnia suczka Nela kuleje na tylnią lewą łapkę, następnego dnia już na niej nie stawała tylko ją podkurczała i skakał na 3 zdrowych próbując co kilka kroków używać chorej łapki, ale z miernym skutkiem. Czy to musi być zerwane więzadło krzyżowe? czy mogą to być skutki uboczne Encortonu i Doxycyclinum? które Nela bierze od zeszłego wtorku? 3tyg temu zgłosiliśmy sie do weta z powiększonymy węzłami chłonnymi zrobilismy komplet badan,(RTG,USG, krew, kał i biopsja węzłów chłonnych)zdiagnozowano limfadenopatie. Nela odczuwa skutki uboczne sterydów wypija litry wody i tyle samo sika, ale najważniejsze ze opuchlizna węzłów już prawie zniknęła. Zamartwiam sie za to tą tylnią łapka, Poradźcie coś bo zwariuje :( Quote
bou Posted July 10, 2017 Posted July 10, 2017 Ale...limfadenopatia jest odpowiedzią na stan chorobowy (głownie infekcje).U suni chyba nie znaleziono przyczyny,dobrze rozumiem? Powiększone węzły chłonne moga też zwiastować chorobę nowotworową (np.chłoniaka). Dobrze,ze po kuracji antyb.i sterydowej węzły się zmniejszyły.Sądzę,że problem z łapką nie ma nic współnego z lekami. Zacznij od dokladnego obejrzenia łay,może jakieś ciało obce w poduszeczce,między palcami etc.Czemu podejrzewasz zerwanie więzadła?(nie jest to oczywiście wykluczone,ale na podstawie czego takie podejrzenie?) Quote
Keyq Posted July 10, 2017 Author Posted July 10, 2017 Łapke ogłądałam z latarka bardzo dokładnie, nic nie znalazłam:/ Widziałam raz jak Nela próbowała wskoczyć na łóżko i wtedy jedna z tylnich łap omsknęła się jej sądze że mogło się to stać ponownie kiedy oboje z mężęm byliśmy w pracy. Poza tym w przeszłości Psinka lekko utykała na te łapkę ale Cimalgex w 8 dni załatwił sprawę. Wiem że mógłby to być chłoniak, węzły Neli urosły do pewnych rozmiarów i więcej się nie powiększały, po Encortonie węzły już drugiego dnia były dużo mniejsze. 1 badanie krwi pokazało ze wątroba i śledziona są w porządku po dwóch tyg kolejne badanie krwi i znowu śledziona i wątroba ok. Z drugim badaniem krwi zrobiliśmy rtg i usg. na rtg wyszło że Nela ma prawdopodobnie polipy w pęchęrzu, jedna z nerek ma dziwną otoczkę a śledziona jest "marmurkowa" Leczymy Nele w Szczecinie w przychodni "Parkowa" Quote
bou Posted July 10, 2017 Posted July 10, 2017 zatem sunia zdrowa nie jest...skoro jednak leki pomogły I lepiej sie czuje,to pozostaje tylko sie cieszyć. poprosiłabym weta o rtg łapki.mozesz tez pójść do weta ortopedy - wtedy będzie jasne,co się z łapką dzieje. Dobranoc na dziś,odzywaj się,pozdrawiam,M. Quote
Keyq Posted July 11, 2017 Author Posted July 11, 2017 Dziękuje za zainteresowanie, na pewno będę się odzywać! Pozdrawiam K. Quote
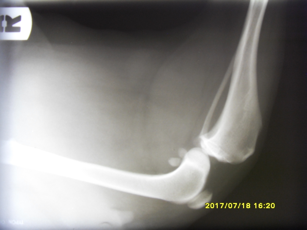
Keyq Posted July 18, 2017 Author Posted July 18, 2017 Cześc ponownie! Po dzisiejszej wizycie u weta i wykonanym teście szufladowym w premedykacji, lekarz stwierdził zerwanie więzadła krzyżowego lewej łapy. Zrobiono jej jeszcze RTG łapki i na zdjęciu było widać przesunięte kości i wysięk. Nela dostała zastrzyk z kwasem hialuronowym Synocrom Forte, Nasz psinka niestety nie może być operowana ponieważ Encorton który bierze osłabia układ odpornościowy, wystarczyło by kilka bakterii i infekcja albo inne komplikacje gotowe :/ Co do samych powiększonych węzłów chłonnych. Zrobiliśmy kolejne USG jamy brzusznej w pęcherzu moczowym dużo lepiej choć 2 "polipki" zostały jeszcze, badanie moczu wykazało ph 8, otoczka wokół nerki powiększyła się znacznie, śledziona dalej "marmurkowata". węzły szyjne zmniejszyły się o połowę (a myślałam że juz ich prawie nie ma:( ) pachwinowe znikły w całości. węzeł krezkowy nie zmniejszył się wcale :/. Powiem szczerze że spodziewałam się lepszych efektów. Encorton działa za słabo? co robić? Nie będę mogła zoperować psa póki Encorton nie wyleczy węzłów, wet jednak zalecił kolejna biopsje więc na następnej wizycie pobierze próbki z kilku węzłów, kolejne USG jamy brzusznej i krew. Lekarz kazał się jednak przygotować na najgorsze, Nela najprawdopodobniej ma chłoniaka. My z mężem już pogodziliśmy się z faktem że będziemy musieli się z nią pożegnać. :( poniżej wrzucam rtg zdrowej prawej i chorej lewej łapki Quote
bou Posted July 20, 2017 Posted July 20, 2017 Wybralabym się na konsultację do weta onkologa.Niektore postaci chłoniaka leczy się chemioterapią z dobrym skutkiem,istotnie wydłuza się czas przezycia.Encorton nie leczy nowotworu...nie oczekuj cudu z jego udzialem (sterydu).Istotne jest teraz jaki będzie wynik biopsji z węzłow.Kiedy idziecie na tę biopsję? Quote
Keyq Posted July 21, 2017 Author Posted July 21, 2017 Wiem ze Encorton nie wyleczy chloniaka. Na biopsje jestesmy umowieni na 2 sierpnia. Wczesniej nie mozemy tego zrobic niestety. Chemia nie wchodzi w gre. Uznalismy ze lepiej oszczedzic Neli tego wszystkiego. Nie wyobrazam sobie podchodzic do niej w rekawiczkach czy nie dac sie jej polizac. Jakos to przezyje z mezem. :( Quote
bou Posted July 21, 2017 Posted July 21, 2017 To moze poczekajmy na wyniki biopsji,na razie,bez nich - nic nie jest jeszcze przesądzone...Trzymam kciuki I czekam na wiadomości,Nela niech się cieszy kazdym dniem z Wami I vice-versa.Pozdrawiam.M. Quote
Keyq Posted October 4, 2017 Author Posted October 4, 2017 Dzis okolo godziny 12.00 Miłosc mojego zycia moje szczescie na 4 łapkach odeszlo. Po odstawieniu lekarstw kiedy zdrowie troche sie uspokoilo i kiedy juz moglismy zoperowac lapke znowu sie zle poczula. Reemisja wezlow chlonnych, nerki uszkodzone, gigantyczna sledziona, i brzuszek wopelniony woda. Dalsze leczenie nie mialo sensu. Odeszla na moich rekach. Nigdy w zyciu nie przezylam takiej tragedii. Najgorszy dzien mojego zycia. Moglam tylko ja trzymac zawinieta w kocyk. Bol po stracie nie do opisania... Quote
bou Posted October 8, 2017 Posted October 8, 2017 Keyq... ogromnie mi przykro,bardzo Ci współczuję... Nelusiu - biegaj zdrowa za TM..... Quote
Recommended Posts
Join the conversation
You can post now and register later. If you have an account, sign in now to post with your account.