AgaCzarna Posted November 18, 2008 Posted November 18, 2008 Zle sie wyrazilam...hodowca w sumie zachowal sie wporzadku bo napisal,ze jezeli pies ma sie meczyc to powinno sie go uspic,o zabiegach tez pisal...chodzilo mi o to,ze ja nie chce innego psa... Quote
ayshe Posted November 18, 2008 Posted November 18, 2008 to zrozumiale.ja mialam w swoim zyciu dwa mocno dysplastyczne onki[na cale stado czyste;)]i tez przeszlam swoje.aczkowliek pierwsza suka bezoperacyjnie odzyla pieknego wieku a druga przeszla operacje juz jako dorosla suka .umozliwilo jej to jeszcze przezycie kilku lat w sprawnosci.dysplazja nie jest wyrokiem.pies z dysplazja moze sobie zyc i to czynnie-zwlaszcza ze ruch jest tutaj bardzo waznym aspektem . Quote
ewula Posted November 18, 2008 Author Posted November 18, 2008 u nas zabieg już za dwa dni :roll: młody niczego się nie spodziewa, leży sobie w klateczce przyzwyczaja się do niej, żeby potem szoku nie było... mam nadzieję , że rekonwalescencja przebiegnie bezproblemowo... a jutro jeszcze wizyta u hodowców, mam nadzieję, że nie usłysze takich słów, jak AgaCzarna, bo chyba nie wytrzymam... Jak Wy sobie radzicie w takich sytuacjach, kiedy psiak ma zabiegi, operacje i trzeba go potem pilnować, w naszym przypadku to przynajmniej miesiąc będzie i stresuje się tym, czy czegos nie popsujemy, żeby się nie okazało że cos tam się poluzuje, wypadnie, nie tak zrośnie... stresik jest Kurcze, tak się składa, że jestem sama na urlopie dla poratowania zdrowia (oczywiście dawno o ratowaniu swojego zdrowia zapomniałam) i dzięki temu mogę sobie pozwolic na pobyt z pieskiem w takim wymiarze godzin, ale normalnie pracując? Jak to możliwe? Quote
ayshe Posted November 19, 2008 Posted November 19, 2008 nigdy nie mialam tego problemu bo od cwiercwiecza psy to moja praca:loveu:.caly moj czas poswiecam swoim onkom[no i lataniu:p-ale to tez przeciez z nimi bo latam dla nich-odleglosc na treningi mam duza;)]. urlop to nieodzowna rzecz.mysle ze czas trwania urlopu zalezy od gojenia sie psiaka.podczas rehabilitacji mozna pracowac bo w sumie zycie z dysplastykiem to jego wieczna rehabilitacja.:cool1: Quote
Natalia i Galwin Posted November 19, 2008 Posted November 19, 2008 Ja studiuje, ale akurat na moich studiach nie ma możliwości zrobienia sobie wolnego... No a jak sobie radzimy... No jakoś radzimy, jest w to zaangażowana zazwyczaj cała rodzina i robimy zmiany. Jakoś to jest. Super że przywyczajasz psiaka do klatki!! To super rozwiązanie :p 3mamy kciuki i prosimy o dokładne relacje!! Quote
AgaCzarna Posted November 19, 2008 Posted November 19, 2008 Klatka?Ja sie caly czas zastanawiam jak to bedzie wygladalo jezeli juz moj pies bedzie mial operacje TPO to pozniej jak to bedzie?Nie bedzie sie mogl ruszac,ale co z potrzebami fizjologicznymi?pampers?:D Moi bracia studiuja,ja jestem w maturalnej klasie,tata pracuje jest jeszcze mama,ale oprocz psa sa jeszcze inne obowiazki;/wiec nie wiem jak to bedzie...ale chyba jakies czynnosci musi pies wykonywac, bo przeciez moze byc zanik miesni...nie mam pojecia jak to wyglada:( Quote
Ewa i flatki Posted November 19, 2008 Posted November 19, 2008 Świetny ortopeda,po praktyce w Stanach - dr Mederski z Grudziądza często podejmuje sie operacji pod warunkiem, że przez dwa tygodnie pies pozostaje u niego w lecznicy unieruchomiony w klatce. Właściciele nieświadomie, z tzw.dobrego serca pozwalają psu po operacji na rzeczy, które obracają w niwecz cały wysiłek lekarzy i cierpienie psa. Trzeba zacisnąć zęby,powiedzieć sobie, że to konieczne,potem pies będzie mógł funkcjonować prawidłowo i wypełniać dokładnie wszystkie zalecenia lekarzy. Quote
Natalia i Galwin Posted November 19, 2008 Posted November 19, 2008 Niestety po tak poważnej operacji trzeba mieć kontrolę nad psem. Nie wolno go zostawić samego w mieszkaniu!!! Musi być albo pod opieką, albo w klatce. Inaczej może sobie zrobić krzywdę. Klatka to ogólnie super wyjście w takich sytuacjach, ale pies musi być do tego przyzwyczajony... Co do potrzeb fizjologicznych - no cóż, różnie się to rozwiązuje. Niektórzy naszą psy na rękach i stawiają na ziemi, albo podtrzymują pod brzuchem np kocykiem... Powinniście dowiedzieć się od lekarza operującego jak najlepiej to rozwiązać. Quote
ewula Posted November 19, 2008 Author Posted November 19, 2008 Zabieg mamy dopiero jutro, dokładnie za 12 godzin, ale już wstępnie rozmawiałam o rekonwalescencji - na siusiu i kupke będzie mozna wychodzić, prawdopodobnie przez pierwsze 2-3 dni wynosić na rękach, potem ruch musi ograniczyć się tylko i wyłącznie do potrzeb fizjologicznych (ok 2 tygodnie). Przy TPO jest dość spore krwawienie i musi być założony dren, w związku z tym piesek będzie te 2 najgorsze dni przebywał w klinice. Po 10 dniach sa zdejmowane szwy więc i tak lekarz będzie widział pieska, cos może zalecic. Kolejne 2 tygodnie to również brak ruchu, dlatego ta klatka jest doskonałym rozwiązaniem, bo słyszałam, że piesek juz po kilku dniach może czuć się jakby był zdrowy (jest na środkach przeciwbólowych) i go roznosi energia a tu... nici z tego. Nie wolno mu się przez miesiąc ruszać. No i z tymi mięśniami tez bywa różnie - chyba nie zanikną, ale jakies odlezyny mogą się porobić (podobno okropnie sie je leczy). Oby nie! A mięśnie, cóż, od tego jest rehabilitacja. Po miesiącu piesek będzie mógł wyjśc na spacerek, krótko na smyczy... Taaa, tylko akurat zima będzie w pełni, oby nie było slizgawic. Dlatego chwilami jest mi ciężko i zastanawiam się, czy podołam, czy go upilnuję, czy nie zmarnuję tego trudu operacji. Miesiąc to niedługo, ale ten pewnie się będzie wyjatkowo dłuzył. No chociaz trochę szczęścia mam, że mamy domek i tylko dwa stopnie schodów do pokonania (choć i tak szykuje juz jakąś równię pochyłą, no i jakąś wykładzinę na drodze od klatki do drzwi -mamy płytki i deski, łapki się rozjeżdżają) Przemeblowałam trochę, żebym mogła mieć miejsce do różnych zajęć, na komputer tuż przy klatce psa. Pewnie czasem będę musiała opuścić to stanowisko, ale mam nadzieję że damy jakoś radę ... Młody już klatkę polubił. I nie wie co go jutro czeka. To tyle przed zabiegiem... Będę relacjonować. Aha, pani hodowczyni zaproponowała mi "nowego zdrowiutkiego pieska", gdyby odpukać coś się z tym stało... :shake: Trzymajcie kciuki :roll: Quote
Natalia i Galwin Posted November 20, 2008 Posted November 20, 2008 3mamy bardzo mocno!!! Będzie dobrze, dzięki tej operacji ma szanse na normalne życie! Warto się pomęczyć przez ten miesiąc! Czekamy na wieści. Quote
ewula Posted November 20, 2008 Author Posted November 20, 2008 Jesteśmy "po", ale niestety jednak o TPO trzeba było zapomnieć :shake: - zbyt mała miednica, kość trzebaby pod jakims nienaturalnym kątem ustawiać co mogłoby być dyskomfortem podczas poruszania się , wręcz krzywdą dla pieska - najogólniej chodzi o to ze mógłby mieć tę łape tylko w jednej pozycji, tzn. prosto a w bok nie mógłby jej podnieść, np. przy siusianiu. Więc niestety ta metoda odpadła, można było to stwierdzic dopiero przy badaniu go juz po uspieniu. Była więc obustronna daroplastyka, mam nadzieję że wszystko dobrze, choć na to prawe biodro to było ryzyko. Jestem w domu, po 20 mam dzwonić. Zostawiłam go w klinice, lekarz stwierdził że to doskonały pomysł, że go nie zabieramy tak szybko. Ale pewnie w sobotę po niego pojedziemy, z tęsknoty... Odezwe się po 23 albo dopiero jutro rano... Dzięki za trzymanie kciuków :loveu: Quote
bumerang Posted November 20, 2008 Posted November 20, 2008 Nadal trzymamy kciuki:loveu: wymiziaj małego od nas ciotek co strasznie się martwią ale wiara czyni cuda, musi byc oki:loveu::loveu: Quote
Natalia i Galwin Posted November 21, 2008 Posted November 21, 2008 Uffff.... Jak dobrze ze po!!! Quote
AgaCzarna Posted November 21, 2008 Posted November 21, 2008 Ja rowniez 3mam kciuki:) Na pewno wszystko sie ulozy:] 3majcie kciuki za srode wtedy moj brat jedzie do Wroclawia i sie okaze czy operacja cos pomoze mojemu psiakowi...mam nadzieje,ze tak...:shake: Quote
ewula Posted November 22, 2008 Author Posted November 22, 2008 Wróciliśmy dziś z Wrocławia, młody dostał na drogę relanium, niby najmniejsza dawkę (resztę dostałam w strzykawce na wszelki wypadek, gdyby to minimum nie zadziałało) i jeszcze go trzyma. Dopiero przed chwilą udało mu się zrobić siku, wynoszony na rękach, do tego ten śnieg...słabiutki jest maluch, zobaczymy jutro. Quote
ewula Posted November 22, 2008 Author Posted November 22, 2008 I dziękuję wszystkim ciotkom za trzymanie kciuków :loveu:, chyba poskutkowało, przynajmniej na ten moment, zobaczymy jak będzie za miesiąc. AgaCzarna - za Was też trzymam kciuki :roll: A do kogo jedziesz do Wrocławia? Quote
Nor(a) Posted November 23, 2008 Posted November 23, 2008 AgaCzarna napisał(a):Klatka?Ja sie caly czas zastanawiam jak to bedzie wygladalo jezeli juz moj pies bedzie mial operacje TPO to pozniej jak to bedzie?Nie bedzie sie mogl ruszac,ale co z potrzebami fizjologicznymi?pampers?:D Moi bracia studiuja,ja jestem w maturalnej klasie,tata pracuje jest jeszcze mama,ale oprocz psa sa jeszcze inne obowiazki;/wiec nie wiem jak to bedzie...ale chyba jakies czynnosci musi pies wykonywac, bo przeciez moze byc zanik miesni...nie mam pojecia jak to wyglada:( Pies po TPO może normalnie wyjść za potrzebą.;).oczywiście asekurowany (nie ma mowy o schodach, bardzo trzeba uważać na śliskich powierzchniach). Mojej seterce przewiązywałam ręcznik pod brzuchem, który trzymalam w ręku-tworzyło się coś w rodzaju nosidełka, oczywiście łapami przebierala sama ale miałam nad tym kontrolę:). Pierwszy raz wyszła na siku 12h po operacji. Oczywiście żadnego innego łażenia, tylko na wysikanie się i z powrotem do domu. Musi!! być miesiąc ograniczenia ruchu. Klatka, albo jakaś odgrodzona mała, część pokoju. Quote
Nor(a) Posted November 23, 2008 Posted November 23, 2008 ewula napisał(a):Przy TPO jest dość spore krwawienie i musi być założony dren, w związku z tym piesek będzie te 2 najgorsze dni przebywał w klinice. ewula: kto Ci o takich "rewelacjach" powiedział?? :roll: Przechodziliśmy TPO, pies został odebrany po 5h od zakończenia operacji i szwy od początku do konca przez 10 dni były całkowicie suche! Nic się z nich nie sączyło, nie paprało. To są szycia na kilku poziomach tkanek, na skórze to wygląda jak normalne szycia np. po sterylce. Szwy są zakładane w 3 miejscach bo w 3 jest pies cięty. Quote
Ewa i flatki Posted November 23, 2008 Posted November 23, 2008 Trzymam kciuki za rekonwalescencję psa i Wasze żelazne zdrowie i nerwy w tym czasie :razz: Quote
ewula Posted November 24, 2008 Author Posted November 24, 2008 Jakoś sobie radzimy, ale ja cała w stresie jestem, czy aby na pewno wszystko dobrze robimy. :roll: Młody wychodzi 4-5 razy dziennie, jest cały dziki jak wyjdzie w koncu na powietrze po leżeniu w klatce, ciągnie na tej smyczy, dwa schodki raptem mamy do pokonania i jeszcze go znosimy, ale chyba mozna mu pozwolic by po nich zszedł (ja ma przygotowana taka kładeczke, tylko nie wiem, czy o się jej nie wystraszy) Taki "wyjście" to średnio 2-4 minuty, musi znaleźć miejsce, nie sika byle gdzie, o czyms grubszym nie wspomnę :cool3: Martwi mnie ta jego żywotność, tzn. tylko i wyłacznie teraz podczas rekonwalescencji. Chyba sobie krzywdy nie zrobi, co? Boję się ze względu na to prawie biodro, tam był zabieg ryzykowny, tzn. 50:50 szans na pełen sukces i pełną sprawność. Stąd ten mój niepokój :shake: Poza tym klatka to rewelacyjny pomysł, teraz wiem, że inaczej nie dalibysmy rady, a przynajmniej byłoby cięzko. Ale w tej klatce tez jest różnie - wstaje, siada, oczywiście dużą większość czasu lezy. Najlepiej mu to " leżenie " wychodzi, gdy w domu jest cisza, spokój. Mam małe zapytanie, może ktoś ma doświadczenie w karmieniu dysplatyków: Purina Prop Plan + ARHROSCAN (2 tabl.) - tak robimy w tej chwili, czy jednak zmienić na Royal Canin Digest&Osteo Junior bez suplementacji? Quote
Natalia i Galwin Posted November 26, 2008 Posted November 26, 2008 Na czas rekonwalescencji bym nie zmieniała karmy. Co jak pojawią się rozwolnienia? Albo jakieś inne problemy które zupelnie nie są potrzebne. Co do odżywek - spytaj lekarza prowadzącego. Ja bym podawała Gelacan Fast firmy Orling. Quote
moni83 Posted November 26, 2008 Posted November 26, 2008 bardzo mi przykro z powodu Twojego pupilka.Zycze powodzenia i tego aby bylo juz tylko dobrze.Na pewno wszystko sie uda-trzeba byc dobrej mysli:calus::buzi: Pozdrawiam,duzo sil zycze! Quote
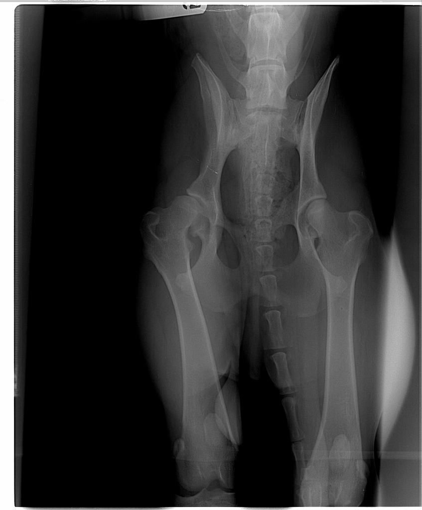
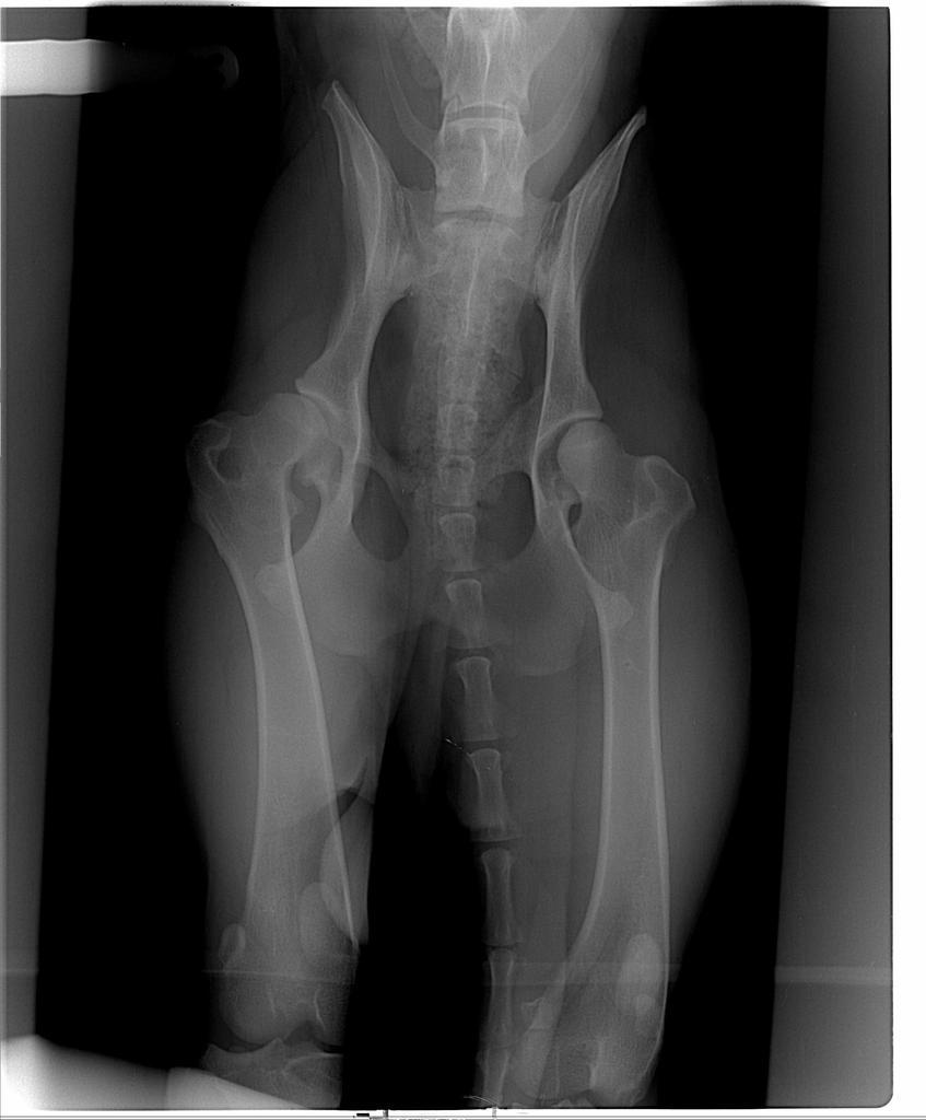
AgaCzarna Posted November 26, 2008 Posted November 26, 2008 Bracia wrocili z Wroclawia...specjalista wypowiedzial sie,ze wada jest bardzo powazna zwlaszcza 1 biodra,ktore nie nadaje sie na operacje...za plytka panewka i juz zaczelo robic sie zwyrodnienie...Moze byc tak,ze za pol roku w ogole przestanie chodzic...juz teraz go bardzo boli...Niestety pozostaje tylko uspienie:-(:-(:-(:-(:-( 3mam kciuki za tych ktorym sie udalo Quote
cyganka Posted November 26, 2008 Posted November 26, 2008 znam psa bardzo duzego ktory ma E na oba stawy i swietnie sobie radzi chodzi i jest ok. jak byl mlody to nie mogl sie ruszac z bolu ale lekarz go wyprowadzil na prosta. Wiec moze jednak niekoniecznie uspienie Quote
Recommended Posts
Join the conversation
You can post now and register later. If you have an account, sign in now to post with your account.